Yeni AI Teknolojisi: Prostat Kanseri ve MRI Analizi
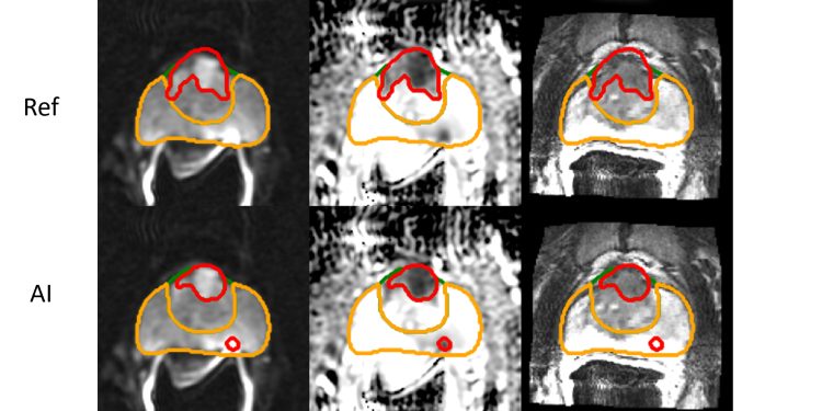
Prostat kanseri üzerine çalışan araştırmacılar, prostat kanseri tümörlerinin nasıl gelişebileceğini ve zamanla nasıl metastaz yapabileceğini hızlı bir şekilde tahmin eden yeni bir yapay zeka (AI) destekli model tanıttılar. Bu teknoloji, prostat MR’larını analiz etmek için bir segmantasyon algoritması kullanarak, kanserli tümörlerin detaylı konturlarını ortaya koymaktadır.
Tümör Hacmi ve Metastaz İlişkisi
Model, tespit ettiği tümörlerin hacmini hesaplayarak, tedavi sonrası bir kanserin metastaz yapma riskini doğrulukla tahmin edebiliyor. Boston’daki Brigham ve Kadın Hastalıkları Hastanesi’nden araştırmacılar, bulgularını Radiology dergisinde Ekim ayında yayınladılar. Yürütülen çalışmada, modelin prostat kanseri hastalarının MR’larını incelediği ve en agresif prostat tümörlerinin %85’ini doğru bir şekilde tespit ettiği belirtiliyor.
Hız ve Doğruluk
Model, görüntü analizini birkaç saniye içinde tamamlayarak, bir tümörün hacmini doğru bir şekilde tanımlıyor. Araştırmacılar, tümörün hacmi ile kanserin tedavi sonrası nüks etme veya metastaz yapma olasılığı arasında doğrudan bir ilişki olduğunu belirtti. Çalışmanın kıdemli yazarı Dr. Martin T. King, bu AI modelinin hız ve doğruluğunun doktorlar ile hastalar için prostat kanserlerinin nasıl gelişebileceğini ön görmekte önemli bir araç sunduğunu vurguladı.
“Tüm tanı bilgisiyle neler yapabileceğimizi merak ettik. Tümör hacminin bilinmesi, sonuçları tahmin etmemize yardımcı olabilir mi?” diye sordu King. “Prostat kanserini tedavi eden doktorlar olarak, hastanın ne kadar kanseri olduğunu ve bunun ne anlama geldiği hakkında daha fazla bilgi sahibi olmak istiyoruz.”
Prostat Kanseri İstatistikleri
Her yıl, ABD’de 300.000’den fazla erkek prostat kanseri teşhisi alıyor ve bu, erkekler arasında en yaygın ikinci kanser türü durumunda. Lokalize prostat kanseri olan erkeklerin -metastaz yapmamış tümörler- beş yıllık göreceli sağkalım oranı %100’e yakınken, metastaz yapmış prostat kanseri olan erkeklerin beş yıllık sağkalım oranı ise yalnızca %36’dır. Bu bilgileri Ulusal Kanser Enstitüsü (NCI) sağlamaktadır.
Yapay Zeka ile Daha İyi Tahminler
Çalışmayı gerçekleştirmek için araştırmacılar, NVIDIA GeForce RTX 3070 GPU ve PyTorch kullanarak görüntü analizi gerçekleştirdiler. Ayrıca, MRI verisetindeki görüntü segmentasyonu için nnUNet algoritmasını kullandılar. Model, 700’den fazla prostat kanseri hastasının MRI görüntüleri üzerinde eğitim ve test işlemi yaptı ve tümörlerin hacmini tahmin etme ile hastaların 5-10 yıl içindeki bilinen sonuçlarını karşılaştırdı.
Sonuçlar, modelin tümör hacmi ve konumunu tespit etmede insan uzmanıyla benzer doğrulukta, fakat çok daha hızlı olduğunu göstermiştir. Daha büyük tümörlerin hacim olarak metastaz veya nüks etme olasılığı ile daha yüksek ilişkiye sahip olduğu ortaya konmuştur. Araştırmacılar, henüz sınırlı sayıda MRI incelendiğine dikkat çekerek, sonuçların ümit verici olduğunu belirtmektedir.
Dr. King, “Daha iyi performans gösteren yeni algoritmalar geliştirilmeye devam edecek. AI, birçok şeyi insanlardan çok daha hızlı ve tutarlı bir şekilde yapabilme kapasitesine sahip olduğu için önemli bir rol oynayacaktır.” şeklinde ifade etti.
Detaylı bilgiye Radiology makalesinden ulaşabilirsiniz. Araştırmacıların çalışmalarına dair diğer raporları da inceleyebilirsiniz. Kullanılan nnUNet segmentasyon algoritmasına GitHub üzerinden erişebilirsiniz.

















